Obturaciones en dientes temporales
El ataque de la caries no tiene edad, tanto los dientes de leche como los definitivos, pueden sufrirla. Muchos padres observan que sus hijos tienen una caries y como es un diente de leche no van a acudir al dentista, pues piensan que cuando pierdan ese diente, se solucionará el problema. Es un error, las caries en dientes de leche deben ser empastadas.
Los dientes de leche tienen unas características que hacen que la caries avance más rápidamente que en los dientes definitivos, llegando a afectar al tejido nervioso del diente mucho más deprisa que a un adulto. Cabe recordar que la caries es una enfermedad infecciosa y de no ser tratada puede desencadenar problemas más serios llegando a afectar al diente definitivo que todavía se encuentra en proceso de formación para salir a la edad adecuada.
La obturación es el procedimiento por el que se restaura la anatomía de un diente temporal mediante la colocación del material adecuado (empaste). Una pieza dental no tratada puede precisar una extracción, lo que haría que los dientes se desplazaran ocupando el espacio vacío y provocando un mal desarrollo de la dentición definitiva.
Los niños necesitan tener una boca sana para facilitar la ingestión de alimentos, en definitiva, los dientes forman parte del proceso de alimentación y del desarrollo infantil.
La salud, el desarrollo y el bienestar de nuestros hijos es lo más importante, si tu hijo tiene caries en los dientes de leche, acude al dentista.
Pulpotomías


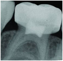
Restauraciones tras pulpotomías
Una vez concluida la realización de la pulpotomía, la cámara pulpar se rellena y posteriormente se realizará una reconstrucción y/o se adaptará una corona de acero inoxidable. El objetivo será conseguir un buen sellado para impedir el anidamiento bacteriano y restaurar la forma y función de la pieza dental afectada.
Mantenedores de espacio

Es una forma severa de caries que se asocia al uso prolongado del biberón o del chupete mojado en algún liquido azucarado como azúcar, miel; asi como el uso de la lactancia materna a demanda más alla de la edad recomendada para el destete. La gravedad de las caries está en relación con la prolongación del hábito.Es muy típico en niños que están constantemente con el biberón en la boca o a los que se deja dormir con él. Se pueden originar con leche artificial o maternal, así como y con la administración de zumos en el biberón.
Este tipo de caries de aparición temprana es muy agresiva. El esmalte de los dientes temporales tiene un grosor y calcificación menor que los dientes permanentes, lo cual favorece el avance tan rápido y destructor de las lesiones.
Tratamiento
El tratamiento debe ser individualizado para cada paciente, considerando la edad, extensión de las lesiones, grado de afectación y efectos sobre la salud general.El objetivo es detener la enfermedad, restaurar el daño causado, restituir la función y evitar la recidiva.
Fracturas Dentarias
Las consultas por lesiones traumáticas dentarias son muy frecuentes. Ante una lesión traumática hay que actuar con mucha rapidez. El tratamiento debe ser iniciado lo más pronto posible. La posible evolución de una fractura está directamente relacionada con la premura con la que se realiza el tratamiento.